Why remove the thyroid gland in order
to eliminate the symptoms of benign nodules?
USA visitors must check the Legal Disclaimer at the end of this page
ModìLite is the ECHOLASER Thermal Ablation treatment for neck lesions, namely benign thyroid nodules.
The name of the treatment contains in a single word the application area (the neck, “Modì” was the nickname of Tuscan painter, Amedeo Modigliani, who portrayed female subjects with very long, slim necks) and “Lite”, which on one hand refers to the lightweight and micro-invasiveness of the treatment, and on the other, the therapeutic source (Light, therefore Laser).
The name ModìLite marks the difference of the procedure performed with ECHOLASER (micro-invasiveness and multi-fibre approach in a single system) from the other thermal ablation techniques.
Suitability
ModìLite is indicated for those who have one or more benign solid thyroid nodules which are large enough to create aesthetic damage or local compression symptoms, or for those who prefer not to undergo surgery. ModìLite is also a safe and effective treatment for subjects who, due to critical medical conditions, are not able to undergo surgery.
Despite focusing on treatment of benign solid thyroid nodules, Modìlite is also effective for malignant neck lesions such as metastatic lymph nodes. With this application, the treatment is radical, resulting in a complete ablation of the lesion.
Performance
- Reduction in volume of benign thyroid nodules due to the Laser Induced CytoReduction (LICR) process, resulting in an improvement of local symptoms;
- Complete ablation of malignant neck tumours, with a sufficient safety margin
What is it?
Modìlite consists of the percutaneous insertion of optical fibres (1 or 2 depending on the size of the nodule), and the delivery of laser energy for several minutes, which heats the tissues until they are destroyed. Subsequently, the progressive reduction of the volume of the thyroid nodule (reduction of at least > 50% compared to the basal volume at the one-year follow-up) induced by the natural reduction mechanisms of the necrotic tissues of the human body leads to the disappearance of the compressive symptoms and aesthetic damage to the neck. The planning of the treatment, the insertion of the needles and the monitoring are all carried out under ultrasound guidance. In order to facilitate the insertion manoeuvre and plan the best positioning of the needles in the lesion, ECHOLASER employs:
- dedicated multi-applicator Guiding Systems for ultrasound probes specifically designed for the anatomical area of the thyroid, with the relative Biopsy Software that displays the guidelines on the screen;
- Planning Software in the ultrasound unit that allows physicians to choose among the various treatment possibilities, the most suitable and safest for each specific case, and verify the correct positioning of the needles inside the nodule.
A single ModìLite treatment leads to a significant and persistent reduction in the volume of the thyroid nodule and improves local symptoms without any changes to the thyroid function.
1./2. LA332 Esaote probe with dedicated multi-fibre Guiding System
3. Biopsy Software related to multi-fibre Guiding System / 4.Planning Software
Advantages
- a reduction of the compressive symptoms and/or aesthetic damage
- “in situ” thermal destruction with a consequent reduction of the nodule volume
- preservation of the healthy tissue and the organ function
- highly predictable and repeatable coagulation volume, as required in the small organs
- use of fine, non-traumatic needles for neck structures
- option of treating patients with pace-makers (excellent electromagnetic compatibility)
- no general anaesthesia (thanks to the very fine needles not even local anaesthetic is necessary)
- short duration of the treatment (few minutes)
- no scars on the neck
- rapid recovery
- life-long hormone replacement therapy not necessary
- no or insignificant post-treatment pain
For more details about the ModìLite procedure, please visit the dedicated website: www.modilite.info
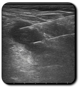
Clinical Case no.1
Benign Thyroid Nodule
A patient with a solid isoechoic nodule (volume 20ml) in the right thyroid lobe, underwent EchoLaser Thermal Ablation. No discomfort was reported by the patient during the treatment .

CEUS image after the treatment showing the hypoechoic zone of the coagulation area
The ultrasound scan at the two-year follow-up showed a reduction in the nodule volume equal to 70% compared to the basal volume.

US images before the treatment and at the two-year follow-up showing the reduction of the nodule
Images courtesy of Dr. Rago (Cisanello Hospital, Pisa)
Clinical Case no.2
Metastatic Lymph nodes in the neck
Patient with metastatic lymph node from papillary thyroid carcinoma has been treated with the EchoLaser Thermal Ablation with two fibres.

CEUS image showing the high absorption of the contrast of the pathological lymph node

US image showing two fibres inside the lymph node

CEUS image showing the absence of enhancement after the treatment
Images courtesy of Dr. Giovanni Mauri (IEO Hospital, Milan)
Thyroid Bening Nodules
The feasibility and efficacy of ultrasound-guided percutaneous laser ablation for multifocal papillary thyroid microcarcinoma.
Lu Zhang, Gui Ping Zhang, Wei Wei Zhan and Wei Zhou
Front. Endocrinol., 17 August 2022 Sec. Thyroid Endocrinology
Image-guided thermal ablation in autonomously functioning thyroid nodules. A retrospective multicenter three-year follow-up study from the Italian Minimally Invasive Treatment of the Thyroid (MITT) Group
Mauri G, Papini E, Bernardi S, Barbaro D, Cesareo R, De Feo P, Deandrea M, Fugazzola L, Gambelunghe G, Greco G, Messina C, Monti S, Mormile A, Negro R, Offi C, Palermo A, Persani L, Presciuttini F, Solbiati LA, Spiezia S, Stacul F, Viganò M, Sconfienza LM.
Eur Radiol. 2022 Mar;32(3):1738-1746
Ultrasound-guided laser ablation of very large benign thyroid nodules: 4-year, retrospective follow-up in 24 patients.
Gambelunghe G, Ristagno S, Stefanetti E, Avenia N, De Feo P.
Int J Hyperthermia. 2022;39(1):217-221
Long-Term Follow-Up of Single-Fiber Multiple Low-Intensity Energy Laser Ablation Technique of Benign Thyroid Nodules.
Squarcia M, Mora M, Aranda G, Carrero E, Martínez D, Jerez R, Valero R, Berenguer J, Halperin I, Hanzu FA.
Front Oncol. 2021 Dec 7;11:584265.
Laser Ablation Versus Radiofrequency Ablation for Thyroid Nodules: 12-Month Results of a Randomized Trial (LARA II Study).
Cesareo R, Manfrini S, Pasqualini V, Ambrogi C, Sanson G, Gallo A, Pozzilli P, Pedone C, Crescenzi A, Palermo A.
J Clin Endocrinol Metab. 2021 May 13;106(6):1692-1701.
Percutaneous Ultrasound-Guided Laser Ablation of Benign Thyroid Nodules: Results of 10-Year Follow-Up in 171 Patients.
Gambelunghe G, Stefanetti E, Avenia N, De Feo P.
J Endocr Soc. 2021 May 5;5(7):bvab081.
2020 European Thyroid Association Clinical Practice Guideline for the Use of Image-Guided Ablation in Benign Thyroid Nodules.
Papini E, Monpeyssen H, Frasoldati A, Hegedüs L.
Eur Thyroid J. 2020 Jul;9(4):172-185.
Laser Ablation Versus Radiofrequency Ablation for Benign Non-Functioning Thyroid Nodules: Six-Month Results of a Randomized, Parallel, Open-Label, Trial (LARA Trial).
Cesareo R, Pacella CM, Pasqualini V, Campagna G, Iozzino M, Gallo A, Lauria Pantano A, Cianni R, Pedone C, Pozzilli P, Taffon C, Crescenzi A, Manfrini S, Palermo A.
Thyroid. 2020 Jun;30(6):847-856
Microwave Ablation Compared With Laser Ablation for Treating Benign Thyroid Nodules in a Propensity-Score Matching Study.
Shi YF, Zhou P, Zhao YF, Liu WG, Tian SM, Liang YP.
Front Endocrinol (Lausanne). 2019 Dec 13;10:874
Ultrasound-Guided Percutaneous Laser Ablation of the Thyroid Gland in a Swine Model: Comparison of Ablation Parameters and Ablation Zone Dimensions
Ridouani F, Tuttle RM, Ghosn M, Li D, Wong RJ, Fagin JA, Monette S, Solomon SB, Camacho JC
Cardiovascular Interventional Radiology (2021)
Laser Ablation of Benign Thyroid Nodules: A Prospective Pilot Study With a Preliminary Analysis of the Employed Energy
De Freitas RMC, Miazaki AP, Tsunemi MH, de Araujo Filho VJF, Marui S, Danilovic DLS, Buchpiguel CA, Chammas MC.
Lasers Surg Med. 2019 Jul 25.
Safety and efficacy of thermal ablation (radiofrequency and laser): should we treat all types of thyroid nodules?
Ben Hamou A, Ghanassia E, Espiard S, Abi Rached H, Jannin A, Correas JM, Do Cao C, Kyheng M, Vantyghem MC, Monpeyssen H.
Int J Hyperthermia. 2019;36(1):666-676.
Quality of life and outcomes in patients with a large toxic adenoma undergoing laser ablation plus radioiodine vs lobectomy
Negro R, Greco G.
Int J Hyperthermia. 2018 Dec 16:1-5.
Minimally-invasive treatments for benign thyroid nodules: a Delphi-based consensus statement from the Italian minimally invasive treatments of the thyroid (MITT) group.
Papini E, Pacella CM, Solbiati LA, Achille G, Barbaro D, Bernardi S, Cantisani V, Cesareo R, Chiti A, Cozzaglio L, Crescenzi A, De Cobelli F, Deandrea M, Fugazzola L, Gambelunghe G, Garberoglio R, Giugliano G, Luzi L, Negro R, Persani L, Raggiunti B, Sardanelli F, Seregni E, Sollini M, Spiezia S, Stacul F, Van Doorne D, Sconfienza LM, Mauri G.
Int J Hyperthermia. 2019;36(1):376-382.
Superb Microvascular Imaging Compared with Contrast-Enhanced Ultrasound for Assessing Laser Ablation Treatment of Benign Thyroid Nodules
Liu W, Zhou P, Zhao Y, Tian S, Wu X.
Biomed Res Int. 2018 Dec 23;2018:1025657.
Percutaneous laser ablation of benign thyroid nodules: a one year follow-up study.
Rahal Junior A, Falsarella PM, Mendes GF, Hidal JT, Andreoni DM, Lúcio JFF, Queiroz MRG, Garcia RG.
Einstein (Sao Paulo). 2018 Nov 29;16(4):eAO4279.
Percutaneous laser ablation for benign and malignant thyroid diseases
Mauri G, Nicosia L, Della Vigna P, Varano GM, Maiettini D, Bonomo G, Giuliano G, Orsi F, Solbiati L, De Fiori E, Papini E, Pacella CM, Sconfienza LM.
Ultrasonography. 2018 Sep 17.
Benign thyroid nodule unresponsive to radiofrequency ablation treated with laser ablation: a case report
Oddo S, Balestra M, Vera L, Giusti M.
J Med Case Rep. 2018 May 11;12(1):127.
Percutaneous Ethanol Injection in Combination with Laser Ablation for a 100 ml Partially Cystic Thyroid Nodule
Negro R, Greco G.
Case Rep Endocrinol. 2018 Feb 15;2018:8046378.
A single session of laser ablation for toxic thyroid nodules: three-year follow-up results
Gambelunghe G, Stefanetti E, Colella R, Monacelli M, Avenia N, De Feo P.
Int J Hyperthermia. 2018 Feb 22:1-5.
Quality of Life in Patients Treated with Percutaneous Laser Ablation for Non-Functioning Benign Thyroid Nodules: A Prospective Single-Center Study
Oddo S, Felix E, Mussap M, Giusti M.
Korean J Radiol 2018;19(1):175-184
Image-guided thermal ablation of benign thyroid nodules
Pacella CM.
J Ultrasound. 2017 Nov 14;20(4):347-349.
A comparison of laser with radiofrequency ablation for the treatment of benign thyroid nodules: a propensity score matching analysis
Pacella CM et al
Int J Hyperthermia. 2017 Jun 12:1-9.
Percutaneous laser ablation for benign thyroid nodules: a meta-analysis
Sui WF, Li JY, Fu JH.
Oncotarget. 2017 May 17.
Laser ablation is more effective for spongiform than solid thyroid nodules. A 4-year retrospective follow-up study
Negro R, Salemb TM and Greco G.
Int J Hyperthermia. 2016 Nov;32(7):822-8.
Benign thyroid nodules treatment using percutaneous laser ablation (PLA) and radiofrequency ablation (RFA)
Mauri G, Cova L, Monaco CG, Sconfienza LM, Corbetta S, Benedini S, Ambrogi F, Milani V, Baroli A, Ierace T& Solbiati L
Int J Hyperthermia. 2016 Nov 15:1-5.
Detection of the Single-Session Complete Ablation Rate by Contrast-Enhanced Ultrasound during Ultrasound-Guided Laser Ablation for Benign Thyroid Nodules: A Prospective Study
Shuhua Ma, Ping Zhou, XiaominWu, Shuangming Tian, and Yongfeng Zhao
BioMed Research International Volume 2016 (2016), Article ID 9565364, 8 pages
AACE/ACE/AME Thyroid Nodule Guidelines
Gharib H, Papini E, Garber JR, Duick DS, Harrel RM, Hegedüs L, Paschke R, Valcavi R, Vitti P
Endocr Pract. 2016;22 (Suppl 1)
Thyroid: Laser ablation of thyroid nodules is rapid, safe and effective
Geach T.
Nat Rev Endocrinol. 2015 Nov;11(11):631.
Outcomes and Risk Factors for Complications of Laser Ablation for Thyroid Nodules. A Multicenter Study on 1531 Patients
Pacella CM, Mauri G, Achille G, Barbaro D, Bizzarri G, De Feo P, Di Stasio E, Esposito R, Gambelunghe G, Misischi I, Raggiunti B, Rago T, Patelli GL, D’Este S, Vitti P, Papini E.
J Clin Endocrinol Metab. 2015 Oct;100(10):3903-10.
Ultrasound-guided percutaneous laser ablation (LA) in treating symptomatic solid benign thyroid nodules: Our experience in 45 patients
Achille G, Zizzi S, Di Stasio E, Grammatica A, Grammatica L.
Head Neck. 2014 Dec 18.
Thyroid nodule morphology affects the efficacy of ultrasound-guided interstitial laser ablation: A nested case-control study
Gambelunghe G, Bini V, Stefanetti E, Colella R, Monacelli M, Avenia N, De Feo P.
Int J Hyperthermia. 2014 Oct 7:1-4
Long-term Efficacy of Ultrasound-Guided Laser Ablation for Benign Solid Thyroid Nodules. Results of a Three-Year Multicenter Prospective Randomized Trial
Papini E, Rago T, Gambelunghe G, Valcavi R, Bizzarri G, Vitti P, De Feo P, Riganti F, Misischi I, Di Stasio E, Pacella CM.
J Clin Endocrinol Metab. 2014 Oct;99(10)
Laser ablation and 131-iodine: a 24-month pilot study of combined treatment for large toxic nodular goiter
Chianelli M, Bizzarri G, Todino V, Misischi I, Bianchini A, Graziano F, Guglielmi R, Pacella CM, Gharib H, Papini E.
J Clin Endocrinol Metab. 2014 Jul;99(7)
Diagnosis of endocrine disease: thyroid ultrasound (US) and US-assisted procedures: from the shadows into an array of applications
Papini E, Pacella CM, Hegedus L.
Eur J Endocrinol. 2014 Mar 14;170(4):R133-46
Clinical review: Nonsurgical, image-guided, minimally invasive therapy for thyroid nodules
Gharib H, Hegedüs L, Pacella CM, Baek JH, Papini E
J Clin Endocrinol Metab. 2013 Oct;98(10):3949-57.
Image-guided percutaneous ablation therapies for local recurrences of thyroid nodule
Pacella CM and Papini E
J.Endocrinol.Invest.36: 61-70;2013
The administration of anesthetic in the thyroid pericapsular region increases the possibility of side effects during percutaneous laser photocoagulation of thyroid nodules
Gambelunghe G, Bini V, Monacelli M, Avenia N, D’Ajello M, Colella R, De Feo P
Lasers Surg Med. 2013
Ultrasound-Guided Interstitial Laser Ablation for Thyroid Nodules Is Effective Only at High Total Amounts of Energy: Results From a Three-Year Pilot Study
Gambelunghe G, Fede R, Bini V, Monacelli M, Avenia N, D’Ajello M, Colella R, Nasini G, De Feo P
Surg Innov. 2012
Percutaneous Laser Ablation of Cold Benign Thyroid Nodules: A 3-Year Follow-Up Study in 122 Patients
Valcavi R,Riganti F,Bertani A,Formisano D, Pacella CM
Thyroid 2010; Volume 20, Number 11
Laser and Radiofrequency Ablation procedures
Valcavi R, Bertani A, Pesenti , Al Jandali, Frasoldati, Formisano, Pacella CM.
Thyroid Ultrasound and Ultrasound-Guided FNA
Springer
Treatment of Benign Cold Thyroid Nodules: A Randomized Clinical Trial of Percutaneous Laser Ablation Versus Levothyroxine Therapy or Follow-up
Papini E, Guglielmi R, Bizzarri G, Graziano F, Bianchini A, Brufani C, Pacella S, Valle D, Pacella CM.
Thyroid. 2007 Mar;17(3):229-35.
A randomized controlled trial to evaluate the efficacy of ultrasound-guided laser photocoagulation for treatment of benign thyroid nodules.
Gambelunghe G, Fatone C, Ranchelli A, Fanelli C, Lucidi P, Cavaliere A, Avenia N, d’Ajello M, Santeusanio F, De Feo P.
J Endocrinol Invest. 2006 Oct;29(9):RC23-6.
Thyroid Tissue: US-guided Percutaneous Interstitial Laser Ablation—A Feasibility Study
Pacella CM, Bizzarri G, Guglielmi R, Anelli V, Bianchini A, Crescenzi A, Pacella S, Papini E.
Radiology. 2000 Dec;217(3):673-7
Metastatic lymph nodes of the neck
Laser Ablation Treatment of Recurrent Lymph Node Metastases from Papillary Thyroid Carcinoma
Offi C, Misso C, Antonelli G, Esposito MG, Brancaccio U, Spiezia S
Journal of Clinical Medicine (2021)
Percutaneous ultrasound-guided laser ablation for the treatment of cervical tuberculous lymphadenitis: a pilot study.
Yang G, Fang J, Yu T, Zhang Y, Zhang W, Zhao D, Xu J, Wang C.
J Int Med Res. 2019 Jan 11:300060518821818.
Ultrasound-guided laser ablation for local control of neck recurrences of medullary thyroid cancer. A feasibility study.
Persichetti A, Bizzarri G, Guglielmi R, Barnabei A, Bianchini A, Coccaro C, Appetecchia M, Papini E.
Int J Hyperthermia. 2018 Sep 11:1-5.
Role of ultrasound in the assessment of percutaneous laser ablation of cervical metastatic lymph nodes from thyroid carcinoma.
Zhang L, Zhou W, Zhan W.
Acta Radiol. 2017 Jan 1:284185117721261.
Percutaneous laser ablation for treatment of locally recurrent papillary thyroid carcinoma <15 mm
Zhou W, Zhang L, Zhan W, Jiang S, Zhu Y, Xu S.
Clin Radiol 2016 Dec;71(12):1233-1239.
Treatment of Metastatic Lymph Nodes in the Neck from Papillary Thyroid Carcinoma with Percutaneous Laser Ablation.
Mauri G, Cova L, Ierace T, Baroli A, Di Mauro E, Pacella CM, Goldberg SN, Solbiati L
Cardiovasc Intervent Radiol. 2016 Jul;39(7):1023-30
Percutaneous Laser Ablation of Metastatic Lymph Nodes in the Neck from Papillary thyroid carcinoma: preliminary results.
Mauri G, Cova L, Tondolo T, Ierace T, Baroli A, Di Mauro E, Pacella CM, Goldberg SN, Solbiati L
J Clin Endocrinol Metab. 2013 May 10.
Percutaneous ultrasound-guided laser ablation is effective for treating selected nodal metastases in papillary thyroid cancer.
Papini E, Bizzarri G, Bianchini A, Valle D, Misischi I, Guglielmi R, Salvatori M, Solbiati L, Crescenzi A, Pacella CM, Gharib H.
J Clin Endocrin Metab, 2013 Jan;98(1):E92-7
Adenoma Parathyroid
US-guided laser treatment of parathyroid adenomas.
Appelbaum L, Goldberg SN, Ierace T, Mauri G, Solbiati L.
Int J Hyperthermia. 2020;37(1):366-372.
Percutaneous Ultrasound-Guided Laser Ablation with Contrast-Enhanced Ultrasonography for Hyperfunctioning Parathyroid Adenoma: A Preliminary Case Series.
Jiang T, Chen F, Zhou X, Hu Y, Zhao Q.
Int J Endocrinol. 2015;2015:673604.
The videos on the page are commented by the respective healthcare professionals, EchoLaser Therapy experts on thyroid nodules.
Teresa Rago, MD
Head physician of the Endocrinology Department, Cisanello Hospital (Pisa) – Italy
Multicentric Randomized Controlled Study of Percutaneous Laser Ablation Versus Follow Up in Benign Thyroid Nodules. Long Term Results
Multicentre Randomized Clinical Trial
No. of patients enrolled: 200
Reference Centres of the study: 4, Azienda Ospedaliero-Universitaria di Pisa – Presidio di Cisanello, Ospedale Regina Apostolorum, Azienda Ospedaliera di Perugia, Arcispedale Santa Maria Nuova
Study status: Completed
Registered on ClinicalTrial.gov: https://clinicaltrials.gov/ct2/show/NCT00858104
Publications of the results: Long-term Efficacy of Ultrasound-Guided Laser Ablation for Benign Solid Thyroid Nodules. Results of a Three-Year Multicenter Prospective Randomized Trial, Papini E, Rago T, Gambelunghe G, Valcavi R, Bizzarri G, Vitti P, De Feo P, Riganti F, Misischi I, Di Stasio E, Pacella CM. J Clin Endocrinol Metab. 2014 Oct
Laser Ablation Versus Radiofrequency Ablation for Thyroid Nodules (LARA)
Randomised Clinical Trial
No. of patients enrolled: 60
Reference Study Centre: Ospedale, Santa Maria Goretti, Latina
Study status: Completed
Registered on ClinicalTrial.gov: https://clinicaltrials.gov/ct2/show/NCT02714946
Pilot Study to Evaluate the Safety and Efficacy of Percutaneous Laser Ablation of Thyroid Papillary Microcarcinoma
No. of patients enrolled: 10
Reference Study Centre: Memorial Sloan Kettering ,New York
Study status: patients enrolment
Registered on ClinicalTrial.gov: https://www.clinicaltrials.gov/ct2/show/NCT04623801







