in caso di lesioni in posizioni a rischio?
PBLite è il trattamento di Termoablazione con ECHOLASER dei tumori dell’addome, in particolare primari e secondari del fegato.
Il nome del trattamento racchiude in una unica parola la zona di applicazione della procedura (il fegato, “Pb” è l’abbreviazione di Prometheus bound (Prometeo incatenato), il titano che nella mitologia greca era stato condannato ad essere incatenato sulle rocce del Caucaso con un’aquila che gli mangiava il fegato ogni giorno) e il tipo di trattamento leggero e microinvasivo (“Lite”, la cui pronuncia in inglese nasconde anche il riferimento alla luce e quindi al laser).
Il nome PBLite permette di differenziare la procedura con ECHOLASER (micro invasività e approccio multifibra in un unico sistema) da altre tecniche di ablazione termica basate sulla tecnologia laser.
Indicazioni
PBLite è indicato per trattare tumori primitivi e secondari del fegato sotto forma di lesioni focali. PBLite è inoltre un trattamento sicuro ed efficace per chi, a causa di condizioni mediche critiche, non può sottoporsi alla chirurgia.
Cos’è
PBLite consiste nell’inserimento di fibre ottiche (da 1 a 4 in funzione della dimensione del tumore), per via percutanea, e nell’erogazione di energia laser per alcuni minuti che produce un riscaldamento del tessuto fino alla sua distruzione completa con un sufficiente margine di sicurezza. Il posizionamento degli applicatori, il monitoraggio del trattamento e la verifica della effettiva area di coagulazione viene effettuato sotto guida ecografica.
Per facilitare la manovra di inserimento il sistema dispone di dedicati Sistemi Guida multi-applicatore per sonde ecografiche dedicate al distretto anatomico del fegato con i relativi Software Biopsia che visualizzano le linee guida sullo schermo.
Trattandosi di lesioni maligne, l’obiettivo del trattamento è l’ablazione completa della lesione e conseguentemente l’assenza di ricorrenze locali post trattamento e un netto aumento della probabilità di sopravvivenza a lungo temine (5 anni).
Un singolo trattamento PBLite consente di trattare un range dimensionale di lesioni epatiche molto ampio: da lesioni con diametri inferiori al cm fino a 5 cm grazie alla versatilità fornita dall’approccio multi-applicatore. Grazie all’effetto termico localizzato PBLite è elettivo per lesioni epatiche vicino a strutture a rischio.
1./2. Sonda Esaote SI2C41 con dedicato Sistema Guida multifibra
3./4. Sonda Esaote CA541 con dedicato Sistema Guida multifibra
Vantaggi
ablazione completa con sufficiente margine di sicurezza
distruzione termica “in situ”
preservazione del tessuto sano e delle funzionalità dell’organo
volume di coagulazione altamente predicibile e ripetibile come richiesto per il margine di sicurezza
effetto termico localizzato solo nel volume trattato che consente il trattamento vicino ai siti critici
impiego di aghi sottili, introduttori delle fibre, non traumatici per l’organo
possibilità di trattare pazienti con pace-maker (ottima compatibilità elettromagnetica)
assenza di anestesia generale
breve durata del trattamento (pochi minuti)
veloci tempi di recupero
assente o irrilevante dolore post trattamento
breve ospedalizzazione
terapia ponte per il trapianto di organo
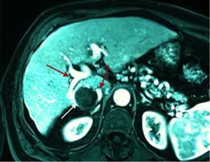
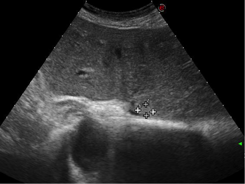
Caso Clinico n.1: Tumore primario del fegato vicino a strutture vascolari
Un paziente con lesione epatica (freccia bianca in Figura), parzialmente esofitica, posizionata tra un ramo della vena porta e la vena cava, è stato sottoposto a Termoablazione con EchoLaser, utilizzando 4 fibre due posizionate nella parte superiore della vena porta e due nella parte inferiore. La lesione, particolarmente difficile da trattare per gli elementi vascolari che la circondano, è stata ablata completamente senza alterazione delle strutture vascolari circostanti.

Immagine ecografica prima del trattamento

Immagine RM ad 1 mese dal trattamento che mostra una completa ablazione (freccia bianca)
Immagini per gentile concessione del Dott. Giovan Giuseppe Di Costanzo (Ospedale Cardarelli, Napoli)
Caso clinico n.2: metastasi al fegato da tumore colon rettale vicino a cuore
Un paziente con una metastasi al fegato di 8 mm nel segmento I particolarmente vicino al pericardio è stato sottoposto a Termoablazioen con EchoLaser. La lesione è stata ablata completamente senza nessuna complicazione legata alla struttura critica vicina come il versamento pericardico.

Immagine Ecografica prima del trattamento

Immagine CEUS post trattamento che mostra una completa ablazione
Immagini per gentile concessione del Dott. Sergio Sartori (Ospedale Sant’Anna, Ferrara)
Per consultare altri casi clinici trattati con PBLite, leggi il seguente documento.
Tumore Epatico
Percutaneous Laser Ablation of Liver Metastases from Neuroendocrine Neoplasm. A Retrospective Study for Safety and Effectiveness.
Sartori S, Tombesi P, Di Vece F, Bianchi L, Ambrosio R.
Cardiovasc Intervent Radiol. 2019 Aug 13.
Treatment response and preliminary efficacy of hepatic tumour laser ablation under the guidance of percutaneous and endoscopic ultrasonography.
Chai W, Zhao Q, Song H, Cheng C, Tian G, Jiang T.
World J Surg Oncol. 2019 Aug 5;17(1):133.
Percutaneous Laser Ablation of Hepatic Tumors Located in the Portacaval Space: Preliminary Results.
Chai W, Zhao Q, Kong D, Jiang T.
Lasers Surg Med. 2019 Jul 8.
Cost Minimization Analysis of Radiofrequency Compared to Laser Thermal Ablation in Patients with Hepatocellular Carcinoma.
Guarino M, D’Angiolella LS, Falco L, Morando F, Di Costanzo GG, Morisco F, Improta G, Mantovani LG, Caporaso N
Farmeconomia. Health economics and therapeutic pathways 2019;20(1):43-50
Laser ablation is superior to TACE in large-sized hepatocellular carcinoma: a pilot case–control study
Morisco F, Camera S, Guarino M, Tortora R, Cossiga V, Vitiello A, Cordone G, Caporaso N, Di Costanzo GG and Italian Liver Cancer (ITA.LI.CA) group
Oncotarget. 2018; 9:17483-17490.
Percutaneous Laser Thermal Ablation in a Patient with 22 Liver Metastases from Pancreatic Neuroendocrine Tumours: A Case Report
Sartori S, Di Vece F, Bianchi L, Tombesi P
EMJ Hepatol. 2018;6[1]:95-99.
EUS dating with laser ablation against the caudate lobe or left liver tumors: a win-win proposition?
Jiang T, Tian G, Bao H, Chen F, Deng Z, Li J, Chai W.
Cancer Biol Ther. 2018 Mar 4;19(3):145-152.
Efficacy and safety of percutaneous laser ablation therapy for treatment of large HCC.
Camera S, Di Costanzo GG, Tortora R, Addario L, Lampasi F, Tartaglione MT, Cossiga V, Donnaruma L, Caporaso N, Morisco F.
Digestive and Liver Disease. 2016; 48 (1): e50.
Laser ablation with or without chemoembolization for unresectable neuroendocrine liver metastases: a pilot study
Pacella CM, Nasoni S, Grimaldi F, Di Stasio E,Misischi I, Bianchetti S, Papini E.
International Journal of Endocrine Oncology May 2016, Vol.3, No.2, Pages 97-107
Laser ablation for hepatic metastases from neuroendocrine tumors
Tombesi P, Di Vece F, Sartori S.
AJR Am J Roentgenol. 2015 Jun;204(6):W732.
Laser ablation for small hepatocellular carcinoma: State of the art and future perspectives.
Di Costanzo GG, Francica G, Pacella CM.
World J Hepatol 2014 October 27; 6(10): 704-715
Radiofrequency Ablation versus Laser Ablation for the Treatment of Small Hepatocellular
Carcinoma in Cirrhosis: a Randomized Trial.
Di Costanzo GG, Tortora R, D Adamo G, De Luca M, Lampasi F, Addario L, Galeota Lanza A, Picciotto FP, Tartaglione MT, Cordone G, Imparato M, Mattera S, Pacella CM.
J Gastroenterol Hepatol. 2015 Mar;30(3): 559-65
A novel needle guide system to perform percutaneous laser ablation of liver tumors using the multifiber technique.
Di Costanzo GG, D’Adamo G, Tortora R, Zanfardino F, Mattera S, Francica G, Pacella CM.
Acta Radiol. 2013 May 23.
Effectiveness, Safety, and Local Progression After Percutaneous Laser Ablation for Hepatocellular Carcinoma Nodules up to 4 cm Are Not Affected by Tumor Location
Francica G, Petrolati A, Di Stasio E, Pacella S, Stasi R, Pacella CM.
Vascular and Interventional Radiology 2012 February;199:1393–1401
Influence of ablative margin on local tumor progression and survival in patients with HCC ≤4 cm after laser ablation.
Francica G, Petrolati A, Di Stasio E, Pacella S, Stasi R, Pacella CM.
Acta Radiol. 2012 May 1;53(4):394-400.
Percutaneous laser ablation of hepatocellular carcinoma in patients with liver cirrhosis awaiting liver transplantation
Pompili M, Pacella CM, Francica G, Angelico M, Tisone G, Craboledda P, Nicolardi E, Rapaccini GL, Gasbarrini G.
Eur J Radiol. 2009
Review Article: Laser Ablation for Small Hepatocellular Carcinoma
Pacella CM, Francica G, and Di Costanzo GG.
Radiology Research and Practise. 2011 Oct 20
Long-term outcome of cirrhotic patients with early hepatocellular carcinoma treated with ultrasound-guided percutaneous laser ablation: a retrospective analysis
Pacella CM, Francica G, Di Lascio FM, Arienti V, Antico E, Caspani B, Magnolfi F, Megna AS, Pretolani S, Regine R, Sponza M, Stasi R.
J Clin Oncol. 2009 Jun 1;27(16):2615-21
Percutaneous laser ablation of unresectable primary and metastatic adrenocortical carcinoma
Pacella CM, Stasi R, Bizzarri G, Pacella S, Graziano FM, Guglielmi R, Papini E.
Eur J Radiol. 2008 Apr; 66 (1):88-94
Complications of Laser Ablation for Hepatocellular Carcinoma: A Multicenter Study
Arienti V, Pretolani S, Pacella CM, Magnolfi F, Caspani B, Francica G, Megna AS, Regine R, Sponza M, Antico E, Di Lascio FM.
Radiology. 2008 Mar;246(3):947-55. Epub 2008 Jan 14.
Percutaneous laser ablation in patients with isolated unresectable liver metastases from colorectal cancer: Results of a phase II study.
Pacella CM, Valle D, Bizzarri G, Pacella S, Brunetti M, Maritati R, Osborn J, Stasi R.
Acta Oncologica 2006; 45: 77-83
Analysis of factors predicting survival in patients with hepatocellular carcinoma treated with percutaneous laser ablation.
Pacella CM, Bizzarri G, Francica G, Forlini G, Petrolati A, Valle D, Anelli V, Bianchini A, Nuntis SD, Pacella S, Rossi Z, Osborn J, Stasi R.
J Hepatol. 2006 Maggio;44(5):902-9
Percutaneous Laser Ablation in the Treatment of Hepatocellular Carcinoma with a Tumor Size of 4 cm or Smaller: Analysis of Factors Affecting the Achievement of Tumor Necrosis
Walser EM
J Vasc Interv Radiol 2005; 16:1427–1429
Laser Thermal Ablation in the Treatment of Small Hepatocellular Carcinoma: Results in 74 Patients
Pacella CM, Bizzarri G, Magnolfi F, Cecconi P, Caspani B, Anelli V, Bianchini A, Valle D, Pacella S, Manenti G, Rossi Z.
Radiology. 2001 Dec; 221(3):712-20.
Hepatocellular Carcinoma: Long-term Results of Combined Treatment with Laser Thermal Ablation and Transcatheter Arterial Chemoembolization
Pacella CM, Bizzarri G, Cecconi P, Caspani B, Magnolfi F, Bianchini A, Anelli V, Pacella S, Rossi Z.
Radiology. 2001 Jun;219(3):669-78
Ultrasound-guided percutaneous laser ablation of liver tissue in a rabbit model
Pacella CM, Rossi Z, Bizzarri G, Papini E, Marinozzi V, Paliotta D, Castaldo R, Ziparo V, Garosi F, Cinti M, Muzzi F
European Radiology 1993; 3(1)
I video della presente pagina sono commentati dal Dottor GG di Costanzo, esperto di Terapia EchoLaser sulle lesioni del fegato.
Radiofrequency Versus Laser Ablation for Hepatocellular Carcinoma
Studio Clinico randomizzato
N. pazienti: 140
Centro di Riferimento dello Studio: Ospedale Cardarelli, Napoli
Stato dello Studio: Completato
Registrato su ClinicalTrial.gov: https://clinicaltrials.gov/ct2/show/NCT01096914?term=laser+radiofrequency+liver&rank=1
Pubblicazione dei risultati: Radiofrequency ablation versus laser ablation for the treatment of small hepatocellular carcinoma in cirrhosis: A randomized trial, Di Costanzo GG, Tortora R, D’Adamo G, De Luca M, Lampasi F, Addario L, Galeota Lanza A, Picciotto FP, Tartaglione MT, Cordone G, Imparato M, Mattera S, Pacella CM. J Gastroenterol Hepatol. 2015 Mar;30(3):559-65.







