Applicazioni
Perchè rimuovere la tiroide
per eliminare i sintomi dei noduli benigni?

ModìLite è il trattamento di Termoablazione con ECHOLASER delle lesioni del collo, in particolare dei noduli benigni tiroidei.

Il nome del trattamento racchiude in una unica parola la zona di applicazione della procedura (il collo, “Modì” era uno dei soprannomi di Amedeo Modigliani, il pittore toscano che soleva raffigurare nei suoi dipinti soggetti femminili dai colli lunghi e slanciati) e il tipo di trattamento leggero e microinvasivo (“Lite”, la cui pronuncia in inglese nasconde anche il riferimento alla luce e quindi al laser).

Il nome ModìLite permette di differenziare la procedura con ECHOLASER (microinvasività e approccio multi-fibra in un unico sistema) da altre tecniche di ablazione termica.

Indicazioni

ModìLite è indicato per chi ha uno o più noduli benigni solidi alla tiroide sufficientemente voluminosi da dare un danno cosmetico o dei sintomi locali da compressione e preferisce non sottoporsi alla chirurgia. ModìLite è inoltre un trattamento sicuro ed efficace per chi, a causa di condizioni mediche critiche, non può sottoporsi alla chirurgia.
Sebbene ModìLite sia focalizzato sul trattamento dei noduli benigni tiroidei, questo trattamento risulta essere efficace anche per le lesioni maligne del collo come i linfonodi metastatici. In tale applicazione il trattamento risulta essere radicale ottenendo l’ablazione completa della lesione.

 

Performance

  • Riduzione volumetrica dei noduli benigni tiroidei dovuta al processo di CitoRiduzione Laser Indotta (LICR, acronym for Laser Induced CytoReduction), con conseguente miglioramento dei sintomi locali;
  • Ablazione completa con sufficiente margine di sicurezza delle lesioni maligne del collo

Cos’è

Modìlite consiste nell’inserimento di fibre ottiche (da 1 a 2 in funzione della dimensione del nodulo), per via percutanea, e nell’erogazione di energia laser per alcuni minuti che produce un riscaldamento del tessuto fino alla sua distruzione. Successivamente la progressiva riduzione del volume del nodulo tiroideo (riduzione del volume almeno >50% rispetto al volume basale ad 1 anno dal trattamento) indotta dai naturali meccanismi di rimozione dei tessuti necrotici del corpo umano determina la scomparsa dei sintomi compressivi e danni estetici del collo. La pianificazione del trattamento, l’inserimento degli aghi e il monitoraggio avvengono sotto guida ecografica.
Per facilitare la manovra di inserimento e pianificare il migliore posizionamento degli aghi nella lesione, ECHOLASER dispone di:

  • dedicati Sistemi Guida multi-applicatore per sonde ecografiche dedicate al distretto anatomico della tiroide con i relativi Software Biopsia che visualizzano le linee guida sullo schermo;
  • Software di Pianificazione del trattamento nell’unità ecografica che consente di scegliere, tra le differenti possibilità di trattamento, la più adatta e sicura ad ogni specifico caso e di controllare la corretta posizione degli aghi all’interno del nodulo.

Un singolo trattamento ModìLite consente una significativa e persistente riduzione del volume del nodulo tiroideo e un miglioramento dei sintomi locali, senza cambiamenti nella funzionalità tiroidea.

In senso orario:
1./2. Sonda Esaote LA332 con dedicato Sistema Guida multi-applicatore
3. Software Biopsia per inserimento applicatori / 4. Software di Pianificazione

Vantaggi

  • riduzione dei sintomi compressivi
  • distruzione termica “in situ” con conseguente riduzione del nodulo
  • preservazione del tessuto sano e delle funzionalità dell’organo
  • volume di coagulazione altamente predicibile e ripetibile come richiesto negli organi piccoli
  • impiego di aghi sottili non traumatici per le strutture del collo
  • possibilità di trattare pazienti con pace-maker (ottima compatibilità elettromagnetica)
  • assenza di anestesia generale (grazie agli aghi sottilissimi anche l’anestesia locale non è richiesta)
  • breve durata del trattamento (pochi minuti)
  • assenza di cicatrici sul collo
  • recupero immediato post trattamento
  • la terapia sostitutiva ormonale a vita non è richiesta
  • assente o irrilevante dolore post trattamento

Per maggiori informazioni sulla procedura ModìLite, Termoablazione con EchoLaser sui noduli tiroidei benigni, visita il sito web dedicato: www.modilite.info

Caso Clinico n.1

Nodulo Benigno Tiroideo

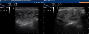
Un paziente con un nodulo solido, isoecogeno, nel lobo tiroideo destro di 20 ml, è stato sottoposto a trattamento di Termoablazione con EchoLaser. Durante il trattamento, il paziente non ha riferito alcun disturbo.

Immagine CEUS post trattamento che evidenzia l’area ipoecogena della zona di coagulazione

 

 

Il controllo ecografico a due anni dal trattamento ha evidenziato la riduzione del volume del nodulo del 70% rispetto al volume basale.

Immagini ecografiche pre trattamento e a due anni di follow-up in cui si evidenzia la riduzione del nodulo

Immagini per gentile concessione del Dott.ssa Rago (Ospedale Cisanello, Pisa)

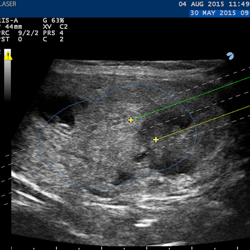
Caso clinico n.2

Linfonodo metastatico del collo

Paziente con linfonodo metastatico del collo da carcinoma tiroideo papillare è stato sottoposto a trattamento di Termoablazione EchoLaser con due fibre.

Immagine CEUS che evidenzia l’elevato assorbimento del contrasto del linfonodo patologico

Immagine CEUS che mostra la completa assenza di enhancement dopo il trattamento

 

 

Immagini per gentile concessione del Dott. Mauri (Ospedale IEO, Milano)

 

Tumori benigni Tiroidei

The feasibility and efficacy of ultrasound-guided percutaneous laser ablation for multifocal papillary thyroid microcarcinoma.
Lu Zhang, Gui Ping Zhang, Wei Wei Zhan and Wei Zhou
Front. Endocrinol., 17 August 2022 Sec. Thyroid Endocrinology

Image-guided thermal ablation in autonomously functioning thyroid nodules. A retrospective multicenter three-year follow-up study from the Italian Minimally Invasive Treatment of the Thyroid (MITT) Group
Mauri G, Papini E, Bernardi S, Barbaro D, Cesareo R, De Feo P, Deandrea M, Fugazzola L, Gambelunghe G, Greco G, Messina C, Monti S, Mormile A, Negro R, Offi C, Palermo A, Persani L, Presciuttini F, Solbiati LA, Spiezia S, Stacul F, Viganò M, Sconfienza LM.
Eur Radiol. 2022 Mar;32(3):1738-1746

Ultrasound-guided laser ablation of very large benign thyroid nodules: 4-year, retrospective follow-up in 24 patients.
Gambelunghe G, Ristagno S, Stefanetti E, Avenia N, De Feo P.
Int J Hyperthermia. 2022;39(1):217-221

Long-Term Follow-Up of Single-Fiber Multiple Low-Intensity Energy Laser Ablation Technique of Benign Thyroid Nodules.
Squarcia M, Mora M, Aranda G, Carrero E, Martínez D, Jerez R, Valero R, Berenguer J, Halperin I, Hanzu FA.
Front Oncol. 2021 Dec 7;11:584265.

Laser Ablation Versus Radiofrequency Ablation for Thyroid Nodules: 12-Month Results of a Randomized Trial (LARA II Study).
Cesareo R, Manfrini S, Pasqualini V, Ambrogi C, Sanson G, Gallo A, Pozzilli P, Pedone C, Crescenzi A, Palermo A.
J Clin Endocrinol Metab. 2021 May 13;106(6):1692-1701.

Percutaneous Ultrasound-Guided Laser Ablation of Benign Thyroid Nodules: Results of 10-Year Follow-Up in 171 Patients.
Gambelunghe G, Stefanetti E, Avenia N, De Feo P.
J Endocr Soc. 2021 May 5;5(7):bvab081.

2020 European Thyroid Association Clinical Practice Guideline for the Use of Image-Guided Ablation in Benign Thyroid Nodules.
Papini E, Monpeyssen H, Frasoldati A, Hegedüs L.
Eur Thyroid J. 2020 Jul;9(4):172-185.

Laser Ablation Versus Radiofrequency Ablation for Benign Non-Functioning Thyroid Nodules: Six-Month Results of a Randomized, Parallel, Open-Label, Trial (LARA Trial).
Cesareo R, Pacella CM, Pasqualini V, Campagna G, Iozzino M, Gallo A, Lauria Pantano A, Cianni R, Pedone C, Pozzilli P, Taffon C, Crescenzi A, Manfrini S, Palermo A.
Thyroid. 2020 Jun;30(6):847-856

Microwave Ablation Compared With Laser Ablation for Treating Benign Thyroid Nodules in a Propensity-Score Matching Study.
Shi YF, Zhou P, Zhao YF, Liu WG, Tian SM, Liang YP.
Front Endocrinol (Lausanne). 2019 Dec 13;10:874

Ultrasound-Guided Percutaneous Laser Ablation of the Thyroid Gland in a Swine Model: Comparison of Ablation Parameters and Ablation Zone Dimensions
Ridouani F, Tuttle RM, Ghosn M,  Li D, Wong RJ, Fagin JA, Monette S, Solomon SB, Camacho JC
Cardiovascular Interventional Radiology (2021)

Laser Ablation of Benign Thyroid Nodules: A Prospective Pilot Study With a Preliminary Analysis of the Employed Energy
De Freitas RMC, Miazaki AP, Tsunemi MH, de Araujo Filho VJF, Marui S, Danilovic DLS, Buchpiguel CA, Chammas MC.
Lasers Surg Med. 2019 Jul 25.

Safety and efficacy of thermal ablation (radiofrequency and laser): should we treat all types of thyroid nodules?
Ben Hamou A, Ghanassia E, Espiard S, Abi Rached H, Jannin A, Correas JM, Do Cao C, Kyheng M, Vantyghem MC, Monpeyssen H.
Int J Hyperthermia. 2019;36(1):666-676.

Quality of life and outcomes in patients with a large toxic adenoma undergoing laser ablation plus radioiodine vs lobectomy
Negro R, Greco G.
Int J Hyperthermia. 2018 Dec 16:1-5.

Minimally-invasive treatments for benign thyroid nodules: a Delphi-based consensus statement from the Italian minimally invasive treatments of the thyroid (MITT) group.
Papini E, Pacella CM, Solbiati LA, Achille G, Barbaro D, Bernardi S, Cantisani V, Cesareo R, Chiti A, Cozzaglio L, Crescenzi A, De Cobelli F, Deandrea M, Fugazzola L, Gambelunghe G, Garberoglio R, Giugliano G, Luzi L, Negro R, Persani L, Raggiunti B, Sardanelli F, Seregni E, Sollini M, Spiezia S, Stacul F, Van Doorne D, Sconfienza LM, Mauri G.
Int J Hyperthermia. 2019;36(1):376-382.

Superb Microvascular Imaging Compared with Contrast-Enhanced Ultrasound for Assessing Laser Ablation Treatment of Benign Thyroid Nodules
Liu W, Zhou P, Zhao Y, Tian S, Wu X.
Biomed Res Int. 2018 Dec 23;2018:1025657.

Percutaneous laser ablation of benign thyroid nodules: a one year follow-up study.
Rahal Junior A, Falsarella PM, Mendes GF, Hidal JT, Andreoni DM, Lúcio JFF, Queiroz MRG, Garcia RG.
Einstein (Sao Paulo). 2018 Nov 29;16(4):eAO4279.

Percutaneous laser ablation for benign and malignant thyroid diseases
Mauri G, Nicosia L, Della Vigna P, Varano GM, Maiettini D, Bonomo G, Giuliano G, Orsi F, Solbiati L, De Fiori E, Papini E, Pacella CM, Sconfienza LM.
Ultrasonography. 2018 Sep 17.

Benign thyroid nodule unresponsive to radiofrequency ablation treated with laser ablation: a case report
Oddo S, Balestra M, Vera L, Giusti M.
J Med Case Rep. 2018 May 11;12(1):127.

Percutaneous Ethanol Injection in Combination with Laser Ablation for a 100 ml Partially Cystic Thyroid Nodule
Negro R, Greco G.
Case Rep Endocrinol. 2018 Feb 15;2018:8046378.

A single session of laser ablation for toxic thyroid nodules: three-year follow-up results
Gambelunghe G, Stefanetti E, Colella R, Monacelli M, Avenia N, De Feo P.
Int J Hyperthermia. 2018 Feb 22:1-5.

Quality of Life in Patients Treated with Percutaneous Laser Ablation for Non-Functioning Benign Thyroid Nodules: A Prospective Single-Center Study
Oddo S, Felix E, Mussap M, Giusti M.
Korean J Radiol 2018;19(1):175-184

Image-guided thermal ablation of benign thyroid nodules
Pacella CM.
J Ultrasound. 2017 Nov 14;20(4):347-349.

A comparison of laser with radiofrequency ablation for the treatment of benign thyroid nodules: a propensity score matching analysis
Pacella CM et al
Int J Hyperthermia. 2017 Jun 12:1-9.

Percutaneous laser ablation for benign thyroid nodules: a meta-analysis
Sui WF, Li JY, Fu JH.
Oncotarget. 2017 May 17.

Laser ablation is more effective for spongiform than solid thyroid nodules. A 4-year retrospective follow-up study
Negro R, Salemb TM and Greco G.
Int J Hyperthermia. 2016 Nov;32(7):822-8.

Benign thyroid nodules treatment using percutaneous laser ablation (PLA) and radiofrequency ablation (RFA)
Mauri G, Cova L, Monaco CG, Sconfienza LM, Corbetta S, Benedini S, Ambrogi F, Milani V, Baroli A, Ierace T& Solbiati L
Int J Hyperthermia. 2016 Nov 15:1-5.

Detection of the Single-Session Complete Ablation Rate by Contrast-Enhanced Ultrasound during Ultrasound-Guided Laser Ablation for Benign Thyroid Nodules: A Prospective Study
Shuhua Ma, Ping Zhou, XiaominWu, Shuangming Tian, and Yongfeng Zhao
BioMed Research International Volume 2016 (2016), Article ID 9565364, 8 pages

AACE/ACE/AME Thyroid Nodule Guidelines
Gharib H, Papini E, Garber JR, Duick DS, Harrel RM, Hegedüs L, Paschke R, Valcavi R, Vitti P
Endocr Pract. 2016;22 (Suppl 1)

Thyroid: Laser ablation of thyroid nodules is rapid, safe and effective
Geach T.
Nat Rev Endocrinol. 2015 Nov;11(11):631.

Outcomes and Risk Factors for Complications of Laser Ablation for Thyroid Nodules. A Multicenter Study on 1531 Patients
Pacella CM, Mauri G, Achille G, Barbaro D, Bizzarri G, De Feo P, Di Stasio E, Esposito R, Gambelunghe G, Misischi I, Raggiunti B, Rago T, Patelli GL, D’Este S, Vitti P, Papini E.
J Clin Endocrinol Metab. 2015 Oct;100(10):3903-10.

Ultrasound-guided percutaneous laser ablation (LA) in treating symptomatic solid benign thyroid nodules: Our experience in 45 patients
Achille G, Zizzi S, Di Stasio E, Grammatica A, Grammatica L.
Head Neck. 2014 Dec 18.

Thyroid nodule morphology affects the efficacy of ultrasound-guided interstitial laser ablation: A nested case-control study
Gambelunghe G, Bini V, Stefanetti E, Colella R, Monacelli M, Avenia N, De Feo P.
Int J Hyperthermia. 2014 Oct 7:1-4

Long-term Efficacy of Ultrasound-Guided Laser Ablation for Benign Solid Thyroid Nodules. Results of a Three-Year Multicenter Prospective Randomized Trial
Papini E, Rago T, Gambelunghe G, Valcavi R, Bizzarri G, Vitti P, De Feo P, Riganti F, Misischi I, Di Stasio E, Pacella CM.
J Clin Endocrinol Metab. 2014 Oct;99(10)

Laser ablation and 131-iodine: a 24-month pilot study of combined treatment for large toxic nodular goiter
Chianelli M, Bizzarri G, Todino V, Misischi I, Bianchini A, Graziano F, Guglielmi R, Pacella CM, Gharib H, Papini E.
J Clin Endocrinol Metab. 2014 Jul;99(7)

Diagnosis of endocrine disease: thyroid ultrasound (US) and US-assisted procedures: from the shadows into an array of applications
Papini E, Pacella CM, Hegedus L.
Eur J Endocrinol. 2014 Mar 14;170(4):R133-46

Clinical review: Nonsurgical, image-guided, minimally invasive therapy for thyroid nodules
Gharib H, Hegedüs L, Pacella CM, Baek JH, Papini E
J Clin Endocrinol Metab. 2013 Oct;98(10):3949-57.

Image-guided percutaneous ablation therapies for local recurrences of thyroid nodule
Pacella CM and Papini E
J.Endocrinol.Invest.36: 61-70;2013

The administration of anesthetic in the thyroid pericapsular region increases the possibility of side effects during percutaneous laser photocoagulation of thyroid nodules
Gambelunghe G, Bini V, Monacelli M, Avenia N, D’Ajello M, Colella R, De Feo P
Lasers Surg Med. 2013

Ultrasound-Guided Interstitial Laser Ablation for Thyroid Nodules Is Effective Only at High Total Amounts of Energy: Results From a Three-Year Pilot Study
Gambelunghe G, Fede R, Bini V, Monacelli M, Avenia N, D’Ajello M, Colella R, Nasini G, De Feo P
Surg Innov. 2012

Percutaneous Laser Ablation of Cold Benign Thyroid Nodules: A 3-Year Follow-Up Study in 122 Patients
Valcavi R,Riganti F,Bertani A,Formisano D, Pacella CM
Thyroid 2010; Volume 20, Number 11

Laser and Radiofrequency Ablation procedures
Valcavi R, Bertani A, Pesenti , Al Jandali, Frasoldati, Formisano, Pacella CM.
Thyroid Ultrasound and Ultrasound-Guided FNA
Springer

Treatment of Benign Cold Thyroid Nodules: A Randomized Clinical Trial of Percutaneous Laser Ablation Versus Levothyroxine Therapy or Follow-up
Papini E, Guglielmi R, Bizzarri G, Graziano F, Bianchini A, Brufani C, Pacella S, Valle D, Pacella CM.
Thyroid. 2007 Mar;17(3):229-35.

A randomized controlled trial to evaluate the efficacy of ultrasound-guided laser photocoagulation for treatment of benign thyroid nodules.
Gambelunghe G, Fatone C, Ranchelli A, Fanelli C, Lucidi P, Cavaliere A, Avenia N, d’Ajello M, Santeusanio F, De Feo P.
J Endocrinol Invest. 2006 Oct;29(9):RC23-6.

Thyroid Tissue: US-guided Percutaneous Interstitial Laser Ablation—A Feasibility Study
Pacella CM, Bizzarri G, Guglielmi R, Anelli V, Bianchini A, Crescenzi A, Pacella S, Papini E.
Radiology. 2000 Dec;217(3):673-7

Linfonodi metastatici del collo

Laser Ablation Treatment of Recurrent Lymph Node Metastases from Papillary Thyroid Carcinoma
Offi C, Misso C, Antonelli G, Esposito MG, Brancaccio U, Spiezia S
Journal of Clinical Medicine (2021)

Percutaneous ultrasound-guided laser ablation for the treatment of cervical tuberculous lymphadenitis: a pilot study.
Yang G, Fang J, Yu T, Zhang Y, Zhang W, Zhao D, Xu J, Wang C.
J Int Med Res. 2019 Jan 11:300060518821818.

Ultrasound-guided laser ablation for local control of neck recurrences of medullary thyroid cancer. A feasibility study.
Persichetti A, Bizzarri G, Guglielmi R, Barnabei A, Bianchini A, Coccaro C, Appetecchia M, Papini E.
Int J Hyperthermia. 2018 Sep 11:1-5.

Role of ultrasound in the assessment of percutaneous laser ablation of cervical metastatic lymph nodes from thyroid carcinoma.
Zhang L, Zhou W, Zhan W.
Acta Radiol. 2017 Jan 1:284185117721261.

Percutaneous laser ablation for treatment of locally recurrent papillary thyroid carcinoma <15 mm
Zhou W, Zhang L, Zhan W, Jiang S, Zhu Y, Xu S.
Clin Radiol 2016 Dec;71(12):1233-1239.

Treatment of Metastatic Lymph Nodes in the Neck from Papillary Thyroid Carcinoma with Percutaneous Laser Ablation.
Mauri G, Cova L, Ierace T, Baroli A, Di Mauro E, Pacella CM, Goldberg SN, Solbiati L
Cardiovasc Intervent Radiol. 2016 Jul;39(7):1023-30

Percutaneous Laser Ablation of Metastatic Lymph Nodes in the Neck from Papillary thyroid carcinoma: preliminary results.
Mauri G, Cova L, Tondolo T, Ierace T, Baroli A, Di Mauro E, Pacella CM, Goldberg SN, Solbiati L
J Clin Endocrinol Metab. 2013 May 10.

Percutaneous ultrasound-guided laser ablation is effective for treating selected nodal metastases in papillary thyroid cancer.
Papini E, Bizzarri G, Bianchini A, Valle D, Misischi I, Guglielmi R, Salvatori M, Solbiati L, Crescenzi A, Pacella CM, Gharib H.
J Clin Endocrin Metab, 2013 Jan;98(1):E92-7

Adenoma Paratiroideo

US-guided laser treatment of parathyroid adenomas.
Appelbaum L, Goldberg SN, Ierace T, Mauri G, Solbiati L.
Int J Hyperthermia. 2020;37(1):366-372.

Percutaneous Ultrasound-Guided Laser Ablation with Contrast-Enhanced Ultrasonography for Hyperfunctioning Parathyroid Adenoma: A Preliminary Case Series.
Jiang T, Chen F, Zhou X, Hu Y, Zhao Q.
Int J Endocrinol. 2015;2015:673604.

 

 

 

 

 

 

I video della presente pagina sono commentati dai rispettivi operatori sanitari, esperti di Terapia EchoLaser sui noduli tiroidei.

 

Dott.ssa Teresa Rago
Dirigente Medico U.O. di Endocrinologia 1, P.O. Cisanello (Pisa)

 

 

 

Multicentric Randomized Controlled Study of Percutaneous Laser Ablation Versus Follow Up in Benign Thyroid Nodules. Long Term Results

Studio Clinico randomizzato
N. pazienti: 200
Centri di Riferimento dello Studio: 4, Azienda Ospedaliero-Universitaria di Pisa – Presidio di Cisanello, Ospedale Regina Apostolorum, Azienda Ospedaliera di Perugia, Arcispedale Santa Maria Nuova
Stato dello Studio: Completato

Registrato su ClinicalTrial.gov: https://clinicaltrials.gov/ct2/show/NCT00858104
Pubblicazione dei risultati: Long-term Efficacy of Ultrasound-Guided Laser Ablation for Benign Solid Thyroid Nodules. Results of a Three-Year Multicenter Prospective Randomized Trial, Papini E, Rago T, Gambelunghe G, Valcavi R, Bizzarri G, Vitti P, De Feo P, Riganti F, Misischi I, Di Stasio E, Pacella CM. J Clin Endocrinol Metab. 2014 Oct

Laser Ablation Versus Radiofrequency Ablation for Thyroid Nodules (LARA)

Studio Clinico randomizzato
N. pazienti: 60
Centro di Riferimento dello Studio: Ospedale, Santa Maria Goretti, Latina
Stato dello Studio: Completato
Registrato su ClinicalTrial.gov: https://clinicaltrials.gov/ct2/show/NCT02714946

Pilot Study to Evaluate the Safety and Efficacy of Percutaneous Laser Ablation of Thyroid Papillary Microcarcinoma

N. pazienti: 10
Centro di Riferimento dello Studio: Memorial Sloan Kettering ,New York
Stato dello Studio: Arruolamento
Registrato su ClinicalTrial.gov: https://www.clinicaltrials.gov/ct2/show/NCT04623801

Applicazioni

Contenuti riservati agli Operatori Sanitari

Attenzione! L'accesso alla visualizzazione dei prodotti e al materiale informativo presenti sul sito è riservato ai professionisti sanitari in ottemperanza alla legislazione vigente (art. 21 D. Lgs. 24 febbraio 1996, n. 47 e ss. mm.). Cliccando il bottone di sinistra per proseguire la navigazione, il navigatore attesta sotto la propria esclusiva responsabilità di possedere la qualifica di professionista sanitario. Cliccando il bottone di destra il visitatore verrà reindirizzato alla pagina di provenienza.