Perchè non considerare un approccio micro-invasivo
per il trattamento delle patologie urologiche?
EchoLaser TPLATM SoracteLite è parte del portfolio di ROCAMED SAM.
Consultare i dettagli di contatto Rocamed nella pagina dedicata CONTATTI.
SoracteLite è il trattamento di Termoablazione con EchoLaser delle patologie urologiche.
Il nome del trattamento racchiude, in una unica parola, un collegamento all’applicazione urologica (“Soracte” è il nome di un monte italiano – nominato anche nell’incipit di un carme oraziano – dove era presente il monastero in cui visse il monaco Nonnoso, divenuto Santo e considerato protettore degli ammalati di reni) e il tipo di trattamento leggero e microinvasivo (“Lite”, la cui pronuncia in inglese nasconde anche il riferimento alla luce e quindi al laser).
Il nome SoracteLite permette di differenziare la procedura con ECHOLASER (microinvasività e approccio multifibra in un unico sistema) da altre tecniche di ablazione termica.
Indicazioni
SoracteLite è la Termoablazione con EchoLaser per il trattamento delle patologie urologiche benigne e maligne, vale a dire l’iperplasia prostatica benigna (IPB), il carcinoma prostatico localizzato a basso rischio (PCa) e il cancro del rene.
Iperplasia Prostatica Benigna
SoracteLite è indicato per i pazienti affetti da iperplasia prostatica benigna, patologia in cui l’aumento volumetrico della ghiandola prostatica genera un effetto di compressione a livello del pavimento vescicale e del canale uretrale, che preferiscono non sottoporsi al trattamento chirurgico.
Cancro prostatico
Il gold standard per il trattamento di pazienti con carcinoma prostatico localizzato a basso rischio sono la chirurgia o la radioterapia, ma gli effetti collaterali del trattamento e la presenza di eventuali comorbidità potrebbero non consentire ai pazienti di sottoporsi a questi tipi di approccio. In tali casi, come stabilito dalle Linee Guida sul cancro alla prostata emesse da associazioni mediche in America ed in Europa, il Trattamento Focale può essere considerato un’opzione terapeutica da offrire a tali pazienti, preferibilmente raccomandata nell’ambito di una sperimentazione clinica. Tra le terapie focali disponibili, l’ablazione laser transperineale SoracteLite (Transperineal Laser Ablation – TPLATM) è una nuova modalità di ablazione laser focale (Focal Laser Ablation – FLA) che è in grado di distruggere la lesione senza provocare gli effetti collaterali indesiderati propri delle terapie radicali.
Cancro del rene
Come riportato nelle Linee Guida emesse dalle associazioni urologiche americane ed europee, le terapie termoablative sono già state investigate come possibile alternativa alla chirurgia per il trattamento di tumori renali localizzati e di piccole dimensioni (<4cm), con risultati clinici promettenti. Questo tipo di approccio è particolarmente indicato per pazienti ad alto rischio chirurgico o con funzionalità renale compromessa. Nell’ambito delle terapie mini-invasive, il trattamento SoracteLite sfrutta applicatori considerevolmente più sottili di quelli utilizzati per i dispositivi di ablazione a radiofrequenza (RFA), ablazione a microonde (MWA) e crioablazione (CRA) attualmente sul mercato, assicurando un approccio ancor meno invasivo, aspetto fondamentale per pazienti ad alto rischio di complicanze dovute alla presenza di comorbidità (ad es. alto rischio di sanguinamento) o alla difficoltà di accesso tecnico.
Performance
- Riduzione volumetrica del tessuto prostatico con conseguente miglioramento dei sintomi locali in pazienti affetti da IPB, dovuta al processo di citoriduzione laser indotta (LICR, acronym for Laser Induced CytoReduction)
- Ablazione completa dei tumori maligni (cancro della prostata e del rene) con sufficiente margine di sicurezza
In Urologia, quando si parla di Laser, si può pensare immediatamente ai laser chirurgici come il laser a luce verde. Questi laser sono un importante progresso per la chirurgia transuretrale endoscopica della prostata. Tuttavia, SoracteLite non utilizza i laser chirurgici. Si differenzia infatti da essi in termini di lunghezza d’onda e potenza (EchoLaser utilizza una lunghezza d’onda di 1064 nm e potenze estremamente basse, 3-5 W), nel suo modo di azione, e infine e soprattutto SoracteLite viene eseguito con un approccio altamente micro-invasivo (transperineale vs transuretrale) tramite aghi estremamente sottile (21G).
Cos’è
SoracteLite per il trattamento dell’IPB
Il trattamento SoracteLite consiste nell’inserimento per via percutanea di fibre ottiche (una o due fibre per lobo, in funzione del volume basale della ghiandola prostatica), tramite accesso transperineale (Transperineal Laser Ablation TPLATM), e nell’erogazione di energia laser per alcuni minuti che produce un riscaldamento del tessuto fino alla sua distruzione. Ciò causa una progressiva riduzione del volume del lobo prostatico (riduzione del volume almeno del 40% rispetto al volume basale ad 1 anno dal trattamento) e successiva scomparsa dei sintomi. La pianificazione del trattamento, l’inserimento degli aghi e il monitoraggio avvengono sotto guida ecografica.
Per facilitare la manovra di inserimento, il sistema dispone di un dedicato Sistema Guida multi-applicatore per sonda ecografica transrettale con il relativo Software di Pianificazione che visualizza le linee guida e l’area di ablazione stimata sullo schermo dell’ecografo.
Con un singolo trattamento SoracteLite è possibile ottenere una significativa e persistente riduzione del volume della ghiandola prostatica e un miglioramento dei sintomi locali, senza cambiamenti nella fisiologia della ghiandola.
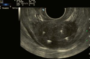
In senso orario:
1. Sonda Esaote TRT33 con Sistema Guida multi-applicatore / 2. Software Biopsia
3./4. Sonda Esaote TRT33 dotata di Sistema Guida multi-applicatore
SoracteLite per il trattamento del cancro prostatico
L’ablazione laser transperineale SoracteLite (Transperineal Laser Ablation – TPLATM), una nuova modalità di ablazione laser focale (Focal Laser Ablation – FLA), consiste nell’inserimento per via percutanea di fibre ottiche tramite accesso transperineale sotto la guida di Fusion Imaging MRI-US, e l’erogazione di energia laser per diversi minuti per riscaldare i tessuti fino a quando non vengono completamente distrutti con un sufficiente margine di sicurezza. Il trattamento viene effettuato con l’impiego di sistemi di guida aghi per il posizionamento degli applicatori nella lesione, permettendo di trattare solo il tessuto canceroso, risparmiando così la prostata sana rimanente.
Con un singolo trattamento SoracteLite è possibile ottenere una completa ablazione della lesione con margini di sicurezza sufficienti, permettendo di preservare il tessuto sano e la funzionalità dell’organo.
SoracteLite per il trattamento del cancro renale
Le fibre ottiche sono inserite per via percutanea per permettere il riscaldamento dei tessuti fino a quando non vengono completamente distrutti con un margine di sicurezza sufficiente. Il posizionamento degli applicatori, il monitoraggio del trattamento e la verifica dell’area effettiva di coagulazione sono eseguiti sotto guida ecografica. La manovra di inserimento delle fibre è facilitata da sistemi di guida multi-applicatori dedicati. Poiché si tratta di tumori maligni, l’obiettivo del trattamento è una completa ablazione della lesione e la successiva assenza di recidive locali dopo il trattamento.
Con un singolo trattamento SoracteLite è possibile trattare tumori renali con un range di dimensioni e diametri molto ampio, grazie alla versatilità offerta dall’approccio multi-fibra. L’effetto termico localizzato di SoracteLite lo rende una valida alternativa per i pazienti ad alto rischio di sanguinamento
Vantaggi
approccio transperineale per le applicazioni prostatiche (TPLATM)
sollievo graduale e costante dai sintomi
danno termico “in situ”
utilizzo di aghi fini e atraumatici con approccio transperineale
assenza di anestesia generale
breve durata del trattamento (pochi minuti)
tempi di recupero rapidi
assente o irrilevante dolore post trattamento
assenza di disfunzione erettile o complicazioni legate agli organi riproduttivi
Per maggiori informazioni sulla procedura SoracteLite, visita il sitoweb dedicato: www.soractelite.info
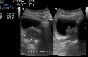
Caso Clinico n.1
Paziente affetto da IPB, con volume basale di 64 ml è stato trattato con Termoablazione con EchoLaser con due fibre per lobo.

Immagine ecografica pre trattamento

Immagine ecografica post trattamento a 4 mesi di follow-up
Il controllo di follow-up a 4 mesi dal trattamento ha evidenziato:
- una riduzione volumetrica da 64 ml a 37 ml
- residuo post-minzione da 200 ml a 43 ml
- IPSS score da 29 a 10
- Quality of Life (QoL) score da 5 a 1
- Massima velocità del flusso da 4 ml/s a 14 ml/s
- Assenza di complicazioni
Immagini per gentile concessione del Dott. Patelli (Ospedale Pesenti Fenaroli, Alzano Lombardo)
Iperplasia Prostatica Benigna
- Transperineal laser ablation (TPLA) of the prostate for benign prostatic obstruction: the first 100 patients cohort of a prospective, single-center study. Lo Re M, Polverino P, Rivetti A, Pecoraro A, Saladino M, Pezzoli M, Siena G, De Nunzio C, Marzi VL, Gacci M, Serni S, Campi R, Sessa. World J Urol. 2024 Jul 10;42(1):402. doi: 10.1007/s00345-024-05077-z. PMID: 38985193
- Transperineal Laser Ablation of the Prostate for Symptomatic Benign Prostatic Hyperplasia: Long-Term Follow-Up in 40 Patients. Patelli G, Altieri VM, Ierardi AM, Carnevale A, Chizzoli F, Baronchelli G, Trimarchi R, Carrafiello G. Journal of Vascular and Interventional Radiology, 2024,ISSN 1051-0443, https://doi.org/10.1016/j.jvir.2024.04.023
- Office-Based Transperineal Laser Ablation for Benign Prostatic Hyperplasia Under Local Anesthesia: 2-Year Results from a Dose Range Confirmatory Trial. Bianco FJ, Luna E, Lopez-Prieto A, González P, Gheiler EL, Kaufman AM, Avila L, Maiolino G. JU Open Plus 2(2):e00007, February 2024. | DOI: 10.1097/JU9.0000000000000105
- Minimally invasive techniques in quest of Holy Grail of surgical management of enlarged prostates: a narrative review. Porto JG, Titus R, Camargo F, Bhatia A, Ahie N, Blachman-Braun R, Malpani A, Lopategui DM, Herrmann TRW, Marcovich R, Shah HN. World J Urol. 2024 Jan 13;42(1):35. doi: 10.1007/s00345-023-04747-8. PMID: 38217727.
- Could transperineal interstitial laser ablation of the prostate be the right option for highly comorbid patients with lower urinary tract symptoms due to benign prostatic obstruction? A preliminary single-center experience focusing on functional and safety outcomes. Polverino P, Lo Re M, Saladino S, Pecoraro A, Moscardi L, Rivetti A, Resta GR, Pezzoli M, Romano A, Somani BK, Siena G, Cocci A, Gacci M, Minervino A, Serni S, Campi R, Sessa F
- Minimally invasive surgical therapies (MISTs) for lower urinary tract symptoms (LUTS): promise or panacea? Busetto GM, Checchia A, Recchia M, Tocci E, Falagario U , Annunziata G , Annese P , d’Altilia N , Mancini V, Ferro M , Crocetto F , Tataru OS , Di Gianfrancesco L, Porreca A, Del Giudice F , De Berardinis E, Bettocchi C, Luigi Cormio, Carrieri G. Asian Journal of Andrology (2023) 25, 1–9; doi: 10.4103/aja202357
- Trans – Perineal laser ablation of the prostate in high surgical risk patients affected by severe lower urinary tract symptoms related to benign prostatic obstruction. Destefanis P, Sibona M, Vitiello F, Vercelli E, Micai L, Montefusco G, Mangione C, Bracco F, Colucci F, De Nunzio C, Gontero P. Prostate Cancer Prostatic Dis (2023). https://doi.org/10.1038/s41391-023-00736-5
- Transperineal laser ablation as treatment for benign prostatic obstruction: Safety, feasibility and functional outcomes—A pilot study. van Kollenburg R, van Riel L, Bloemen P, de Reijke T, Beerlage H, de Bruin D et al. BJUI Compass. 2023. https://doi.org/10.1002/bco2.278.
- Transurethral resection of the prostate (TURP) versus transperineal laser ablation (TPLA) due to benign prostatic hyperplasia (BPH): prospective and comparative study. Canat HL, Gurbuz C, Bozkurt M. Int Urol Nephrol. 2023 Jul 27. doi: 10.1007/s11255-023-03717-8.
- Transperineal laser ablation of the prostate as a treatment for benign prostatic hyperplasia and prostate cancer: The results of a Delphi consensus project. Cocci A et al. Asian Journal of Urology, 2023, ISSN 2214-3882, https://doi.org/10.1016/j.ajur.2023.07.001.
- Three years outcomes of transperineal laser ablation of the prostate. Minafra P, DE Rienzo G, Gerbasi S, Cindolo L, Battaglia M, Ditonno P. Minerva Urol Nephrol. 2023 Jun 14. doi: 10.23736/S2724- 6051.23.05270-9. Epub ahead of print. PMID: 37314812.
- Ablative minimally invasive surgical therapies for benign prostatic hyperplasia: A review of Aquablation, Rezum, and transperineal laser prostate ablation. Nguyen DD, Li T, Ferreira R, Baker Berjaoui M, Nguyen AV, Chughtai B, Zorn KC, Bhojani N, Elterman D. Prostate Cancer Prostatic Dis. 2023 Apr 20. doi: 10.1038/s41391- 023-00669-z. PMID: 37081044.
- Ejaculatory Function following Transperineal Laser Ablation versus TURP for Benign Prostatic Obstruction: A Randomized Trial. Bertolo R, Iacovelli V, Cipriani C, Carilli M, Vittori M, Antonucci M, Maiorino F, Signoretti M, Petta F, Travaglia S, Panei M, Bove P. BJU Int. 2023 Mar 14. doi: 10.1111/bju.16008. PMID: 36917033.
- Transperineal Laser Ablation for Benign Prostatic Enlargement: A Systematic Review and Pooled Analysis of Pilot Studies. Tafuri A, Panunzio A, De Carlo F, Luperto E, Di Cosmo F, Cavaliere A, Rizzo M, Tian Z, Shakir A, De Mitri R, Porcaro AB, Cerruto MA, Antonelli A, Cormio L, Carrieri G, Karakiewicz PI, Abreu AL, Pagliarulo V. J Clin Med. 2023 Feb 26;12(5):1860. doi: 10.3390/ jcm12051860. PMID: 36902647; PMCID: PMC10003190.
- Ultrasound-guided SoracteLite™ transperineal laser ablation (TPLA) of the prostate for the treatment of symptomatic benign prostatic hyperplasia (BPH): a prospective single-center experience. Laganà A, Di Lascio G, Di Blasi A. et al. World J Urol (2023). https://doi.org/10.1007/ s00345-023-04322-1.
- Standard approach and future perspective for the management of benign prostatic hyperplasia from a health- economics point of view: the role of transperineal laser ablation. Lorenzoni V, Palla I, Manenti G, Ditonno P, de Reijke TM and Turchetti G. Front. Urol. 3:1100386. doi: 10.3389/fruro.2023.1100386.
- Transperineal Laser Ablation of the Prostate (TPLA) for Lower Urinary Tract Symptoms Due to Benign Prostatic Obstruction. Sessa F, Polverino P, Siena G, Bisegna C, Lo Re M, Spatafora P, Pecoraro A, Rivetti A, Moscardi L, Saladino M, et al. J. Clin. Med. 2023, 12, 793. https://doi.org/ 10.3390/ jcm12030793.
- Efficacy and safety of ultrasonography guided transperineal percutaneous laser ablation for treating benign prostatic hyperplasia: a randomized controlled trial. Chen L, Zhang W, Meng Z, Guo Q, Cao N, Xu Y, Fu Q, Hu B. https://doi.org/10.21203/rs.3.rs-2433606/v
- Ultrasound-guided perineal laser ablation versus prostatic arterial embolization for benign prostatic hyperplasia: two similar short-term efficacies. Cai H, Zhu C, Fang J. Acta Radiol. 2022 Nov 27:2841851221140214.
- Transperineal laser ablation of the prostate with EchoLaser™ system: perioperative and short-term functional and sexual outcomes. Sessa F, Polverino P, Bisegna C, Siena G, Lo Re M, Spatafora P, Pecoraro A, Rivetti A, Conte FL, Cocci A, Villari D, Minervini A, Gacci M, Li Marzi V, Serni S and Campi R. Front. Urol. 2:969208. doi: 10.3389/fruro.2022.969208.
- Transperineal laser ablation of the prostate (TPLA) for selected patients with lower urinary tract symptoms due to benign prostatic obstruction: a step-by-step guide. Sessa F, Bisegna C, Polverino P , Gacci M, Siena G , Cocci A , Li Marzi V, Minervini A, Serni S , Campi R. Urology Video Journal, Volume 15, 2022, 100167.
- Ultrasound-guided transperineal laser ablation for percutaneous treatment of benign prostatic hyperplasia: a new minimally invasive interventional therapy. Cai HJ, Fang JH, Kong FL, Xu CK, Chen CH, Wang W, Huang B. Acta Radiol. 2022 Apr;63(4):553-558.
- Feasibility, safety, and efficacy of ultrasound-guided transperineal laser ablation for the treatment of benign prostatic hyperplasia: a single institutional experience. Frego N, Saita A, Casale P, Diana P, Contieri R, Avolio PP, Lazzeri M, Hurle R, Buffi NM, Guazzoni GF, Lughezzani G. World J Urol. 2021 Oct;39(10):3867-3873.
- 3-T MRI and clinical validation of ultrasound-guided transperineal laser ablation of benign prostatic hyperplasia. Manenti G, Perretta T, Calcagni A, Ferrari D, Ryan CP, Fraioli F, Meucci R, Malizia A, Iacovelli V, Agrò EF, Floris R. Eur Radiol Exp. 2021 Sep 17;5(1):41.
- Transperineal interstitial laser ablation of the prostate, a novel option for minimally invasive treatment of benign prostatic obstruction. De Rienzo G, Lorusso A, Minafra P, Zingarelli M, Papapicco G, Lucarelli G, Battaglia M, Ditonno P. Eur Urol. 2021 Jul;80(1):95-103.
- Transperineal laser ablation for percutaneous treatment of benign prostatic hyperplasia: a feasibility study. Results at 6 and 12 months from a retrospective multi-centric study. Pacella CM, Patelli G, Iapicca G, Manenti G, Perretta T, Ryan CP, Esposito R, Mauri G. Prostate Cancer Prostatic Dis. 2020 Jun;23(2):356-363.
- Transperineal Laser Ablation for Percutaneous Treatment of Benign Prostatic Hyperplasia: A Feasibility Study. Patelli G, Ranieri A, Paganelli A, Mauri G, Pacella CM. Cardiovasc Intervent Radiol. 2017 Sep;40(9):1440-1446.
Cancro Prostatico
- Transperineal Laser Ablation for Focal Therapy of Localized Prostate Cancer: 12-Month Follow-up Outcomes from a Single Prospective Cohort Study. Iacovelli V, Carilli M, Bertolo R, Forte V, Vittori M, Filippi B, Di Giovanni G, Cipriani C, Petta F, Maiorino F, et al. 2024; 16(15):2620. https://doi.org/10.3390/cancers16152620
- Transperineal Laser Ablation (TPLA) Treatment of Focal Low–Intermediate Risk Prostate Cancer. Manenti G, Perretta T, Nezzo M, Fraioli FR, Carreri B, Gigliotti PE, Micillo A, Malizia A, Di Giovanni D, Ryan CP, et al. Cancers. 2024; 16(7):1404. https://doi.org/10.3390/cancers16071404
- Transperineal laser ablation (TPLA) with ultrasound/MRI fusion guidance in the treatment of localized radiotherapy-resistant prostate cancer. Manenti G, Nezzo M, Ryan CP, Fraioli FR, Carreri B, Gigliotti PE, et al. BJR Open (2023) 10.1259/bjro.20230042.
- Transperineal laser ablation of the prostate as a treatment for benign prostatic hyperplasia and prostate cancer: The results of a Delphi consensus project. Cocci A et al. Asian Journal of Urology, 2023, ISSN 2214-3882, https://doi. org/10.1016/j.ajur.2023.07.001.
- Reliable Visualization of the Treatment Effect of Transperineal Focal Laser Ablation in Prostate Cancer Patients by Magnetic Resonance Imaging and Contrast- enhanced Ultrasound Imaging.Van Riel LAMJG, Van Kollenburg RAA, Freund JE, Almasian M, Jager A, Engelbrecht MRW, Smit RS, Bekers E, Nieuwenhuijzen JA, Van Leeuwen PJ, Van der Poel H, De Reijke TM, Beerlage HP, Oddens JR, De Bruin DM. European Urology Open Science, Volume 54, August 2023, Pages 72-79.
- A single-operator experience using EchoLaser SoracteLiteTM for focal laser ablation of prostate cancer: One more arrow in the quiver for the conservative management of the disease. Meneghetti I, Giardino D, Morganti R, Marino V, Menchini Fabris F, Bartoletti R, Pinzi N. Archivio Italiano Di Urologia E Andrologia, 94(4), 406–412. https://doi.org/10.4081/aiua.2022.4.406.
- Safety and Feasibility of Soractelite Transperineal Focal Laser Ablation for Prostate Cancer and Short-term Quality of Life Analysis from a Multicenter Pilot Study. Van Riel L, van Kollenburg R , Andre´ N. Vis AN , van Leeuwen PJ , de Reijke TM , de Bruin DM , Oddens JR. Prostate Cancer| Volume 39, P48-54, May 01, 2022
Cancro al Rene
- Image-guided laser ablation in the treatment of recurrence of renal tumours: technique and preliminary results. Ferrari F, Mauri G, Nicosia L, Varano GM, Bonomo G, Orsi F. Eur Radiol Exp. 2020 Jan 3;4(1):1.
- Ultrasound-guided percutaneous laser ablation is safe and effective in the treatment of small renal tumors in patients at increased bleeding risk. Sartori S, Mauri G, Tombesi P, Di Vece F, Bianchi L, Pacella CM.
- Image-Guided Ablations in Patients with Recurrent Renal Cell Carcinoma. Aurilio G, Mauri G, Rossi D, Della Vigna P, Bonomo G, Varano GM, Maiettini D, Rocca MC, Verri E, Cullurà D, Nolè F and Orsi F. Journal of Clinical Medicine. 2023; 12(15):4902. https://doi. org/10.3390/jcm12154902.
- CT-guided percutaneous laser ablation of adrenal metastases from kidney cancer. Oltmanns G. P167 – ECIO 2023 Book of Abstracts. Cardiovasc Intervent Radiol 46 (Suppl 2), 23–271 (2023). ttps://doi.org/10.1007/ s00270-023-03414-0.
- Image-guided laser ablation in the treatment of recurrence of renal tumours: technique and preliminary results. Ferrari F, Mauri G, Nicosia L, Varano GM, Bonomo G, Orsi F. Eur Radiol Exp. 2020 Jan 3;4(1):1. doi: 10.1186/s41747-019- 0127-0.
Procedura SoracteLite per il trattamento dell’Iperplasia Prostatica Benigna
Procedura SoracteLite per il trattamento di ablazione laser focale del Cancro Prostatico
Transperineal Laser Ablation for Low- and Intermediate Risk Prostate Cancer: a Single Cohort Analysis
-
-
- N. Pazienti: 20
- Centro di Riferimento dello Studio: Ospedale San Carlo di Nancy, Roma
- Stato dello Studio: Follow-up
- Link di registrazione dello studio clinico: https://clinicaltrials.gov/ct2/show/NCT05584787
-
Transperineal Laser Ablation for Treatment of LUTS Due to Benign Prostatic Obstruction
-
-
- N. Pazienti: 20
- Centro di Riferimento dello Studio e Promotore: Academisch Medisch Centrum – Universiteit van Amsterdam (AMC-UvA)
- Stato dello Studio: Completato
- Registrato su ClinicalTrial.gov: https://clinicaltrials.gov/ct2/show/NCT03653117
-
Registry of Transperineal Laser Ablation for Treatment of Lower Urinary Tract Symptoms With Use of the Echolaser® Device: A Multicentre, International Registry to Evaluate the Treatment of Lower Urinary Tract Symptoms in Terms of Long-term Efficacy, Functional Outcomes and Safety
-
-
- N. Pazienti: 500
- Promotore: Academisch Medisch Centrum – Universiteit van Amsterdam (AMC-UvA)
- Stato dello Studio: arruolamento pazienti
- Registrato su ClinicalTrial.gov: https://clinicaltrials.gov/ct2/show/NCT03776006
-
Efficacy of Ultrasound Guided Percutaneous Transperineal Laser Ablation in Benign Prostatic Hypertrophy Patients: Non-Pharmacological Interventional Study
-
-
- N. Pazienti: 40
- Centro di Riferimento dello Studio: Ospedale Tor Vergata, Roma
- Stato dello Studio: Completato
- Registrato su ClinicalTrial.gov: https://clinicaltrials.gov/ct2/show/NCT04044573
-
Tollerabilità al trattamento Ablativo percutaneo con Laser al Neodimio nei pazienti affetti da Ipertrofia Prostatica Benigna (IPB): Studio Pilota Osservazionale Prospettico
-
-
- N. Pazienti arruolati: 10
- Centro di Riferimento dello Studio: Ospedale Pesenti Fenaroli, Alzano Lombardo (BG)
- Promotore: Dr. Gianluigi Patelli
- Stato dello Studio: Terminato
-
Transperineal Laser Ablation for Benign Prostatic Hyperplasia with Bladder Outlet Obstruction
-
-
- N. Pazienti: 20
- Centro di Riferimento dello Studio: Urology Specialist Group, Miami Florida
- Stato dello Studio: Completato
- Registrato su ClinicalTrial.gov: https://www.clinicaltrials.gov/ct2/show/NCT04760483
-
Transperineal Laser Ablation for Treatment of LUTS Due to Benign Prostatic Obstruction
-
-
- N. Pazienti: 140
- Centro di Riferimento dello Studio: Shanghai Sixth People’s Hospital, China
- Stato dello Studio: arruolamento pazienti
- Link di registrazione dello studio clinico: http://www.chictr.org.cn/showproj.aspx?proj=34314
-
Ablazione Laser Transperineale dell’adenoma prostatico per il trattamento micro-invasivo della sintomatologia ostruttiva da ipertrofia prostatica benigna: Studio Clinico Randomizzato di confronto con la resezione prostatica transuretrale (TURP)
-
-
- N. Pazienti: 50
- Centro di Riferimento dello Studio: Ospedale San Carlo di Nancy, Roma
- Stato dello Studio: Arruolamento pazienti
- Link di registrazione dello studio clinico: https://www.clinicaltrials.gov/ct2/show/NCT04781049
-
Efficacia a breve termine della ablazione laser transperineale con fusione di immagini nei pazienti affetti da carcinoma prostatico: Studio pilota interventistico multidisciplinare
-
-
- N. Pazienti: 30
- Centro di Riferimento dello Studio: Ospedale Tor Vergata, Roma
- Stato dello Studio: Completato
- Link di registrazione dello studio clinico: https://www.clinicaltrials.gov/ct2/show/NCT04045756
-
Transperineal laser ablation for focal treatment of prostate cancer: the safety and ablative efficacy of transperineal laser ablation for focal prostate cancer treatment compared with radical prostatectomy histological analysis
-
-
- N. Pazienti: 12
- Centro di Riferimento dello Studio e Promotore: Academisch Medisch Centrum – Universiteit van Amsterdam (AMC-UvA)
- Stato dello Studio: Completato
- Registrato su ClinicalTrial.gov: https://www.clinicaltrials.gov/ct2/show/NCT04170478
-
Transperineal Laser Ablation Treatment for Prostate Cancer Registry: a Retrospective and Multicenter Evaluation
-
-
- N. Pazienti: 200
- Centro di Riferimento dello Studio e Promotore: Academisch Medisch Centrum – Universiteit van Amsterdam (AMC-UvA)
- Stato dello Studio: arruolamento pazienti
- Registrato su ClinicalTrial.gov: https://www.clinicaltrials.gov/ct2/show/NCT05163197
-







